Monolitikus Cirkon Korona: Tartós és Esztétikus Fogpótlás Megoldás

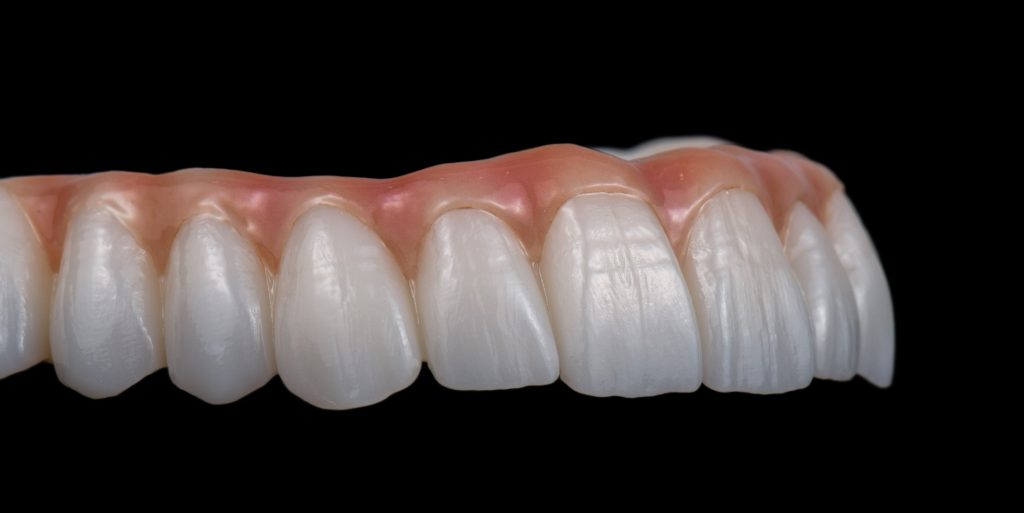
A monolitikus cirkon korona a modern fogpótlások egyik legkorszerűbb és legmegbízhatóbb megoldása. Ez a típusú cirkon korona teljes egészében cirkóniumból készül, ezért hívjuk monolitikusnak ( = egy darabból vésett). Kiemelkedő tartósságot és természetes esztétikai hatást biztosít. A monolitikus esztétikus cirkon anyag különösen ellenálló a kopással és a töréssel szemben, így hosszú távú megoldást jelent azoknak, akik tartós fogpótlást keresnek.

Ellenálló képessége miatt kifejezetten előnyös olyanoknál használni, akiknek erős állkapcsuk van és/vagy a front fogak területén lepattanások vannak. A monolitikus esztétikus cirkon koronákkal garantáltan nem fog lepattanás jelentkezni a koronáknál.

A monolitikus koronák nem csak erősek, de rendkívül természetes megjelenést is nyújtanak, mivel a cirkónium anyaga hasonlóan viselkedik, mint a természetes fogzománc. A modern fogászatban a monolitikus cirkon korona kiváló választás mind az első, mind a hátsó fogak esetében, hiszen esztétikus megjelenése mellett nagy terhelésnek is ellenáll. Esztétikus megjelenésüket a hőkezelés előtt felvitt festékkel lehet elérni. 

A cirkon korona előnye, hogy biokompatibilis, így minimalizálja az allergiás reakciók kockázatát, valamint kiválóan illeszkedik a meglévő fogakhoz, biztosítva a kényelmes és természetes érzetet. Az eljárás során a fog előkészítése minimális invazivitást igényel (monolitikus cirkon korona vastagság ~ 1 mm), így megőrzi a fog struktúráját, miközben maximális stabilitást biztosít.

Ha Ön is tartós, esztétikus és biztonságos fogpótlási megoldást keres, a monolitikus cirkon korona az ideális választás. Vegye fel velünk a kapcsolatot, hogy többet tudjon meg a monolitikus cirkon korona árakról, az eljárás menetéről és előnyeiről. Tegye meg az első lépést a tökéletes mosoly felé a monolitikus cirkon koronával!

Megosztás: